이발소에서 시작된 기적: 10대 소년, 혈액암 조기 발견! 생명을 구한 특별한 이야기
이발사의 눈썰미, 소년의 생명을 구하다
영국에서 발생한 놀라운 이야기가 우리에게 감동을 선사합니다. 평범한 일상, 머리를 자르기 위해 이발소를 찾은 10대 소년 오웬 노그로브는 뜻밖의 행운을 마주하게 됩니다. 튀르키예 출신 이발사 피라트 다부토글루의 예리한 눈썰미 덕분에, 오웬은 심각한 질병을 조기에 발견하고 완치될 수 있었습니다. 이 이야기는 우리에게 건강의 중요성과 주변 사람들의 작은 관심이 얼마나 큰 영향을 미칠 수 있는지 깨닫게 해줍니다.

이발사가 발견한 작은 혹, 생명을 구하는 열쇠가 되다
오웬은 평소처럼 머리를 다듬기 위해 이발소를 방문했습니다. 이발사인 다부토글루는 오웬의 목 뒤쪽에서 심상치 않은 혹을 발견하고, 즉시 병원에 가서 진찰을 받아볼 것을 권유했습니다. 이 조언은 오웬의 삶을 완전히 바꿀 중요한 계기가 되었습니다. 이발사의 작은 관심이 없었다면, 오웬은 질병을 더욱 늦게 발견하고 더 큰 위험에 처했을지도 모릅니다.

호지킨 림프종 진단, 그리고 시작된 투병
이발사의 권유로 병원을 찾은 오웬은 정밀 검사 끝에 림프계에서 발생하는 희귀 혈액암인 호지킨 림프종 진단을 받았습니다. 갑작스러운 진단은 오웬과 그의 가족에게 큰 충격을 안겨주었지만, 다행히 조기 발견으로 인해 적절한 치료를 시작할 수 있었습니다. 오웬은 즉시 항암 치료에 돌입했고, 5개월간의 힘든 투병 생활을 견뎌내야 했습니다.

5개월간의 항암 치료, 그리고 완치
오웬은 5개월간의 항암 치료를 성공적으로 마치고, 마침내 완치 판정을 받았습니다. 그는 다시 이발소를 찾아 다부토글루에게 감사의 인사를 전했습니다. 오웬은 “당신이 아니었다면 지금의 나는 없었을지도 모른다. 정말 감사하다”고 말하며, 이발사의 도움에 대한 깊은 고마움을 표현했습니다. 이발사 역시 오웬의 완치를 진심으로 축하하며, 앞으로 건강한 삶을 기원했습니다.

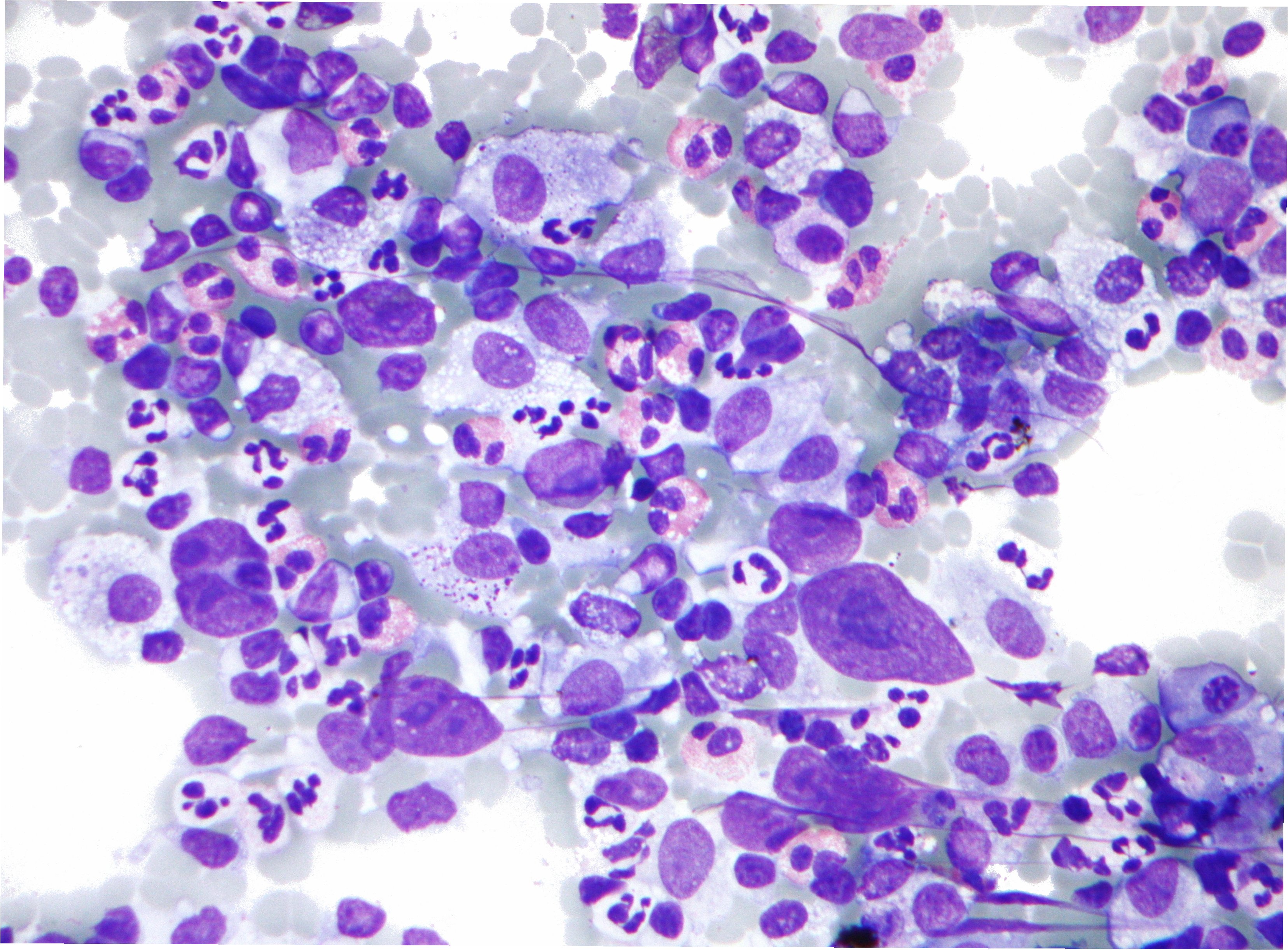
호지킨 림프종, 무엇이며 어떻게 치료할까?
호지킨 림프종은 림프구에서 발생하는 혈액암의 일종으로, 림프절에서 주로 발생합니다. 조기에 발견하면 치료 성공률이 매우 높습니다. 주요 증상으로는 목, 겨드랑이, 사타구니 등 림프절 부위의 통증 없는 부종, 이유 없는 발열, 야간 발한, 체중 감소 등이 있습니다. 치료는 주로 방사선 치료와 항암제 치료를 병행하며, 재발하거나 치료 효과가 없을 경우 줄기세포 이식을 고려하기도 합니다.

호지킨 림프종 조기 진단의 중요성
이 사례는 조기 진단의 중요성을 다시 한번 강조합니다. 림프절 부위의 혹, 지속적인 발열, 야간 발한, 체중 감소 등 호지킨 림프종의 의심 증상이 나타난다면 즉시 병원을 찾아 정확한 진단을 받아야 합니다. 조기 진단은 치료 성공률을 높이고, 환자의 삶의 질을 향상시키는 데 결정적인 역할을 합니다.

결론: 작은 관심이 만들어낸 기적
이발사의 작은 관심과 조언이 한 소년의 생명을 구한 감동적인 이야기입니다. 건강에 대한 지속적인 관심과 조기 진단의 중요성을 일깨워주는 이 사례는 우리 모두에게 시사하는 바가 큽니다. 주변 사람들의 작은 관심과 주의 깊은 관찰이 얼마나 큰 결과를 가져올 수 있는지 보여주는 소중한 경험입니다.

자주 묻는 질문
Q.호지킨 림프종의 주요 증상은 무엇인가요?
A.목, 겨드랑이, 사타구니 등 림프절 부위의 통증 없는 부종, 이유 없는 발열, 야간 발한, 체중 감소 등이 주요 증상입니다.
Q.호지킨 림프종은 어떻게 치료하나요?
A.주로 방사선 치료와 항암제 치료를 병행하며, 재발하거나 치료 효과가 없을 경우 줄기세포 이식을 고려합니다.
Q.호지킨 림프종을 예방하는 방법이 있나요?
A.호지킨 림프종의 명확한 예방법은 없지만, 조기 진단을 위해 림프절 부위의 이상 증상에 주의를 기울이고, 정기적인 건강 검진을 받는 것이 중요합니다.
